BEHIND CLOSED DOORS

 

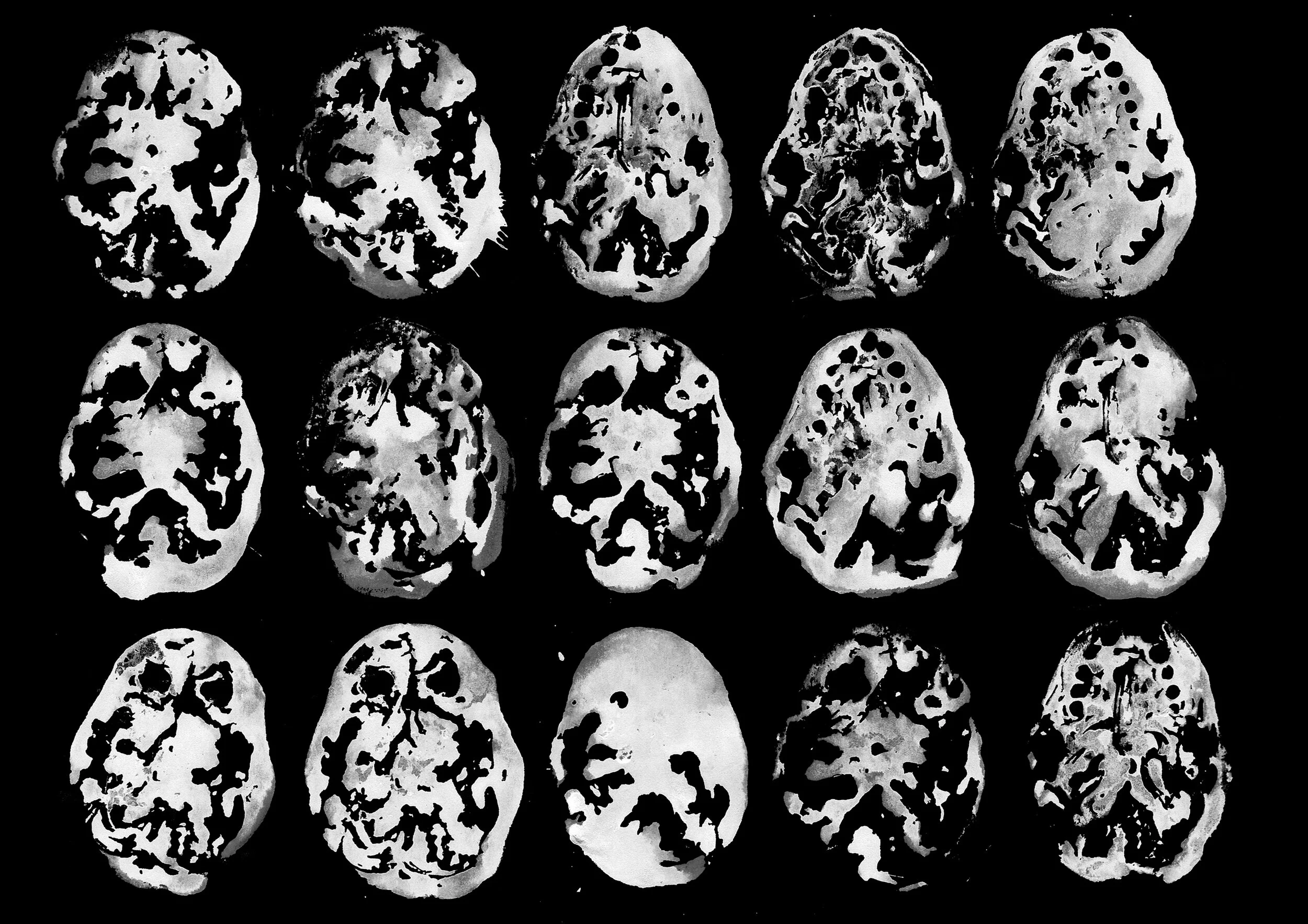
When I underwent surgery to have a tumour removed from my head I created reportage drawings of the experience, from scans to surgery. The process was a cathartic method of re-framing an uncertain period in my life. I wanted to find a unique way to present these drawings and publish them, so my personal experience could potentially help others.

 

Prints made from personal MRI scans of tumour

23041716 copy.jpg

I organised a medical photographer to document the surgery while I was unconscious, so that I could draw from the photos and develop a sequential narrative.

 
 

I bound the books at both ends and perforated down the centre of each page. The reader had to tear through the centre of the drawing to get to the next, as if performing surgery. Once the book was read, it had a permanent scar.